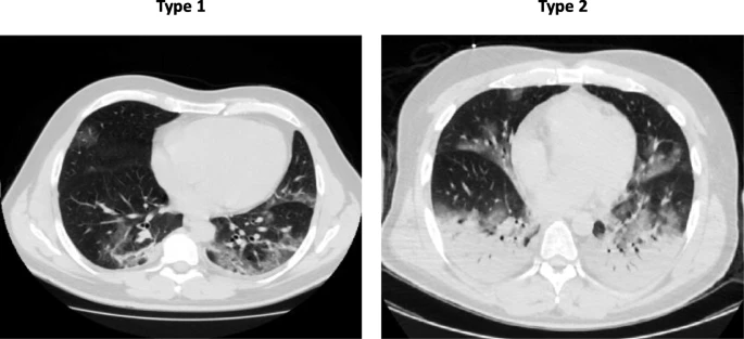
In these patients, severe hypoxemia is associated with respiratory system compliance > 50 ml/cmH2O. The lung’s gas volume is high, the recruitability is minimal, and the hypoxemia is likely due to the loss of hypoxic pulmonary vasoconstriction and impaired regulation of pulmonary blood flow. Therefore, severe hypoxemia is primarily due to ventilation/perfusion (VA/Q) mismatch. High PEEP and prone positioning do not improve oxygenation through recruitment of collapsed areas, but redistribute pulmonary perfusion, improving the VA/Q relationship. Lung CT scans in those patients confirm that there are no significant areas to recruit, but the right-to-left venous admixture is typically around 50%.